原標題:與流感搏命38天
昏迷了14天后,陶園終于在ICU的病房里蘇醒過來。
他清楚地記得,醒來后看到一扇窗戶,外面灰蒙蒙一片,什么景色也沒有。護士呼喚著他的名字,“陶園,你認得我嗎?”陶園下意識地點點頭。隨后護士說,“你媽媽馬上就進來看你”。一聽到母親,陶園有些高興。但他發現自己說不了話,也動彈不得。過了好久,他才注意到自己一絲不掛的身上插滿了管子,周圍儀器發出滴滴的聲響。
他回想起自己在失去意識前,好像得了一場感冒,病情加重后一度被送進常州市第三人民醫院的搶救室。但這之后發生了什么,此時身在何處,他一概不知。
高燒不退
1991年出生的陶園身材高大、體格健碩,平日里酷愛踢球。2015年是他大學畢業的第二年,年初他剛剛入職一家互聯網公司。
2015年1月11日,是一個周日,陶園和朋友在球場踢球。體能向來充沛的他踢了沒多久后感覺渾身無力,提前下場休息,坐了一小會就請朋友開車送他回家。
回來后他并沒有多在意,既不咳嗽也不流鼻涕,并不像感冒。他覺得是自己最近沒睡好,導致身體狀態不佳。
等到第二天工作日,陶園照常上班。一上午他都感覺自己后背發涼,不住地顫栗,無力的感覺蔓延到全身。因為剛入職不久,他不愿輕易請假,也覺得有點小病不用大驚小怪,忍一忍就行。
可到了下午,他撐不住了。“辦公室空調開得很高,但我就是感覺很冷,渾身沒力。”陶園說。隨后下午三四點左右他向領導請假回家休息,領導立馬就答應了。
一回到家,陶園立刻洗漱上床,用被子裹緊自己。等到了晚飯時間,陶園的母親朱成鳳(化名)看到兒子早早地躺上了床,一邊準備常備感冒藥給他服下,一邊還不忘數落著他不注意保暖。
晚上陶園自己量了體溫,發現水銀一直躥到39度。朱成鳳對他說,要不去醫院吧。陶園拒絕了,他想先吃藥睡一晚,看看體溫會不會降下來,第二天看情況再去醫院。
然而這一晚陶園并不好過,被高燒折磨的他無法停止寒戰,盡管被子捂得嚴嚴實實,身體仍然不住顫抖。凌晨,始終難以入睡的他發了條微博,“感冒了,好難受。”
13日一早,朱成鳳又給陶園測了一次體溫,仍然是高燒,陶園向公司請了假和母親去醫院。一系列血常規、胸部X光檢查下來,并未發現異常。除了高燒,陶園也沒有任何感冒的癥狀。期間醫生一度認為是蕁麻疹引起了高燒,開了點退燒藥回家靜養。
當天晚上,陶園的體溫升到40度。著急的母子二人又一次奔向醫院,在嘈雜擁擠的急診室里,醫生仍然拿不準具體的病因,只能先掛水觀察,實在不行就使用激素。
往常感冒,陶園只要輸液一段時間后就能緩解。但這次500毫升的一袋鹽水他掛了有兩個多小時,人反而越來越難受,于是提前拔掉吊針打車回家。這晚,他又一次躺在床上裹緊了被子,高燒帶來的痛苦讓他不住地呻吟。朱成鳳在一旁束手無策,只能干著急。
在隨后的一天里,因為使用了栓式退燒藥,陶園的體溫一度回到正常,他和母親以為,體溫應該會慢慢降下來,但沒想到,這只是噩夢的開始。
血液異常
1月15日,陶園的體溫回升到40度。
朱成鳳說,換一家三甲醫院試試,看看能否查出什么問題。但陶園對于來回奔波已經有些不耐煩,幾天下來,他備受高燒折磨,只想著快點退燒,開始寄希望兩天前醫生說的“激素”。
他對母親說,去哪不都一樣,我們那個醫院又不差,從小都在那看病。但朱成鳳有一些醫學常識,她知道激素不能隨便使用,最后還是堅持帶著他換了家醫院,前往市第一人民醫院。
同樣的檢查流程,在拍完X光胸片后,報告上沒有顯示異常。陶園拿著報告對母親說,看吧,我就說沒什么,你非要換。朱成鳳沒說話。
然而等到驗血檢查時,問題出現了。
“麻煩你換只手再驗一次,我不知道是不是儀器出了點問題。”在陶園剛剛抽完血后,化驗科一位醫師對他說道。陶園并不明白醫生是什么意思,他真的以為是儀器出了問題。他和母親對視了一眼,什么也沒想就把剛剛擼上去的右手袖子放下,把左手的袖子擼上去,再次抽了管血。
十五分鐘后,化驗醫生拿著前后兩份化驗單,直接從化驗室里走出來,對著陶園和朱成鳳說,你們趕緊去找醫生,這個結果太不正常了。

血常規檢查報告
聽到這話,兩人都沒了聲音。尤其是剛剛一直鬧騰的陶園,接過化驗單后使勁地找那些代表著指標異常的小箭頭。“你看你的血小板,都快沒了”,化驗醫生指著一項指標對他說。
這項叫血小板的指標正常區間在125--350,而陶園兩次化驗下來,分別為27和38,遠遠低于正常指標。而在幾天前的化驗單上,這項指標顯示為147,屬于正常。陶園立馬拿出手機搜了一下血小板過低意味著什么,他看到了“凝血功能障礙”、“免疫力破壞”以及“白血病”。
看到化驗醫生如此著急,朱成鳳心里一下子沒了底。他們來到急診室,醫生一看血小板的指標,第一反應這不可能,隨后意識到問題的嚴重性,立刻打電話給其他醫生,請求會診。
此時陶園和朱成鳳坐在一旁,看著急診室人來人往。過了十分鐘后醫生還沒來,陶園有些不耐煩了,催促醫生再打一個電話。可第二通電話后又過去二十分鐘左右,還是沒人來,陶園有些著急了。
“要是再不來我就回去了,我受不了了。”陶園對母親說。朱成鳳讓他別著急,再等等。此時陶園干坐著的時候,寒戰的感覺尤為明顯。
在又一次催促無果的情況下,已經沒有耐心的陶園起身就要離開,朱成鳳拽住了他,讓他坐下。可陶園的倔脾氣上來了,他掙脫了母親的拉拽徑直朝門外走去,朱成鳳又一次拉住他,問他你干嘛去?此時周圍的醫生和病人都看著他們。
陶園任性地說,我出去透透氣。朱成鳳連忙跟了出去,陶園坐在門口,狠狠地把手上的保溫杯砸在地上,低著頭什么也不說。朱成鳳知道兒子發脾氣是因為難受,她也不知道該說什么,只能陪在身邊。等到醫生來了,兩人這才進去。
在隨后進一步的實驗室化驗中,醫院排除了陶園患有血液疾病的可能,示意他先留院觀察一天。
依舊沒有查出病因,反而還要留院。一聽到這,陶園的脾氣又上來了,他對母親說,“我不會留下來的,要留你自己留。”無論朱成鳳怎么苦口婆心地勸,陶園就是想回家。折騰了那么久,他只想躺在自己的床上。他心想,哪怕在床上瑟瑟發抖,也好過在外面折騰。
事后陶園回憶,自己當時可能是燒壞了腦袋才會這么亂發脾氣。好在當時朱成鳳足夠堅定,無論兒子說什么、怎么鬧,她都謹遵醫囑。
病情爆發
當天陶園犟了很久,看到母親著急流淚他才妥協,表示愿意留下來掛水觀察,但絕不住院。可等到他躺在觀察室的病床上,再也沒力氣四處走動。身邊的親戚都走開后,陶園一個人哭了。
晚上睡在醫院觀察室,陶園始終無法入眠。他的頭又暈又沉,觀察室里熙熙攘攘的聲音讓他更難受,加上掛的水已經沒完沒了,他的精神幾乎就要崩潰。
1月16日凌晨2時29分,他拍了張輸液的照片發上微博,“在家起碼可以睡死過去,在病房也不關燈,掛了六個小時水還沒掛完,神經都要衰弱了。”
朱成鳳也陪著他,她就趴在陶園的腳邊,陶園有什么需要立馬就可以起身。而陶園此時已經想到了最壞的結果,他發了一條微博,“朋友們我愛你們。”但很快就刪除了,之后再也沒碰過手機。
等天亮后,查房醫生把朱成鳳單獨叫了出去,陶園注意到了。“這不是電視劇里經常出現的橋段(醫生瞞著病人告訴家屬病人得了絕癥)嗎,我也遇上了?”陶園開玩笑說。此時他還很冷靜,等親戚回來后一邊閱讀著他們的臉色,一邊揣摩自己會是什么病。
可還是沒人來告訴他生的是什么病,他等來的是轉院通知。
陶園本以為要自己坐車轉院,但醫院表示,必須坐救護車。這是陶園第一次坐救護車,他在車上和工作人員談論著病情,很快就到達了市第三人民醫院。比起坐救護車更讓他吃驚的,是下了救護車醫生也不讓他走路,全程輪椅。他當時納悶,我真的嚴重到這個地步了嗎?
就這樣,陶園一路被推著做檢查、照CT,于16日下午住進了病房,他兩只手上都在輸液。
對于那個午后,陶園自己沒什么印象了,“可能就是一直在睡覺,迷迷糊糊吃了點東西但是都吐了”。實際上,從那天下午開始,他的病情逐漸惡化。“下午睡了一會后,血壓開始不正常,肝功能出現異常,CT顯示肺部病變。”朱成鳳說,下午開始,陶園開始咳嗽,每次都咳出來不少血。
在這期間,醫生告訴朱成鳳,你們得趕緊購買白蛋白。白蛋白是由肝臟產生的一種蛋白質,一是可以保持血液中的水分,二是與其他物質結合,充當血液中的轉運工具。這種價格不菲的藥物一般只給危重病人在緊急情況下使用。
當天下午,醫生通過會診,發現陶園的雙肺均有炎癥,出現“白肺”跡象,這說明此時肺部已經無法完成氧氣交換。而“白肺”最常見的病因是感染,其次是彌漫性肺泡出血綜合征、急性呼吸窘迫綜合征等。

市三院入院報告
根據市第三人民醫院出具的入院記錄,“治療后患者癥狀無好轉,考慮患者重癥肺炎基礎上伴有多臟器功能損害,出現血流動力學不穩,病情危重,轉ICU進一步診治。”
當晚,醫生叫醒了陶園,表示他需要換個病房。此時陶園注意到,母親面帶愁容,臉色并不好。陶園不知道自己將要去的是ICU,他記得幾個護士護工、母親朱成鳳、小姨朱成華一起推著自己的病床往別處走,路上誰也沒說話。
等來到一扇大門前,護士把朱成鳳擋在門外,自己被推了進去。關門后陶園清楚地聽到,門外傳來了母親撕心裂肺的哭聲。
病危通知
等進了ICU,護士讓陶園把衣服全部褪去,全程配合護士吸氧、連接心電監護儀、插管、抽血。
陶園覺得,到了這種地步,醫院應該能有能力扭轉病情了。雖然戴著氧氣面罩,但他仍然時不時和護士有著交流,甚至還能開玩笑。可在ICU里,除了他和護士的聲音,其他誰也聽不到,他也不知道周圍是否還有人,他甚至沒有力氣四處張望。
陶園記得,當他躺在ICU的病房里時,墻上有一面鐘,但他看不清上面顯示的是幾點,昏昏沉沉中,他分不清白天和黑夜,樂觀和體力正在一點一點耗盡。
不知過了多久,護士走過來說,你需要換一個呼吸器,之前的氧氣罩已經不能滿足供氧需求。陶園吃力地點點頭,聽著護士介紹如何使用呼吸器。護士表示,你呼出來多少氣體,儀器就會提供多少氧氣。可當陶園呼出一口氣后,面罩隨之而來的氣體直沖他的鼻腔,一直頂到他的肺里。那一瞬間,陶園口鼻中噴射出大量粉狀泡沫液體,一次兩次后伴有抽搐,整個人幾乎失控。
一旁的護士趕緊呼叫醫生,“病人出現心臟衰竭。”陶園聽到了這句話,他吃力地向護士確認,“我是不是心臟衰竭了?”護士點點頭,陶園沒有再說話。從這一刻他開始意識到,事情不好了。
當晚,醫院第一次向朱成鳳發出了病危通知書,幾乎崩潰的她在家人的陪伴下勉強簽了字,她日夜守在ICU門外,為兒子祈禱。
在ICU里,陶園開始感受到恐懼和絕望。他第一次覺得,呼吸是那么困難的一件事,每吸一口氣都要費很大勁,也還是喘不過來。他一度痛苦難耐地向護士說,“堅持不下去了,我不行了。”
在一位護士的安撫和指導下,陶園逐漸能夠適應新的呼吸器,他用一只手把持著呼吸面罩,跟著儀器的節奏進行吸氧。醫生讓他睡一會,他表示自己不敢睡,害怕又一次口鼻噴血。
這之后沒多久,陶園的父親攙扶著朱成鳳進入到了病房,他們穿著防護服走到陶園面前,母親看起來面容憔悴,不停地對陶園說著加油。陶園看到了,但他沒法回話。他指了指自己的呼吸器,示意自己正在努力呼吸。朱成鳳點點頭,隨后三步一回頭地離開ICU。
陶園看了看一旁的醫生,他明白醫生的用意。因為父母,陶園重新燃起了求生的欲望,他集中注意力全力吸氧,死死盯地著那面看不清的時鐘,希望時間快些流過。
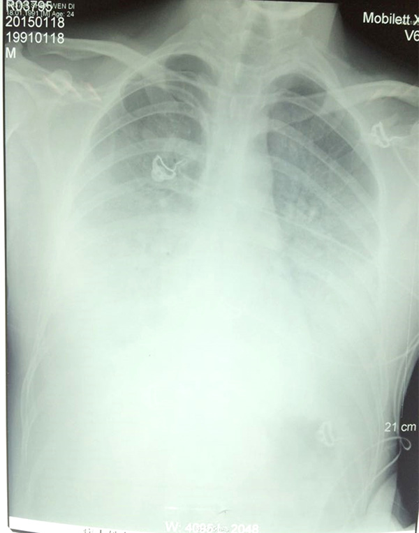
不記得堅持了多久,他慢慢失去了意識。此時的病情報告上寫著:重癥肺炎、急性呼吸窘迫綜合征、感染性休克、多器官功能不全綜合征、呼吸衰竭、肝功能不全、腎功能不全、彌散性血管內凝血、高淀粉酶血癥。

陶園的肺部CT
1月18日,陶園使用氣管插管接呼吸機輔助呼吸;1月19日,病情持續惡化,白肺進一步加重,CT上整個肺部幾乎都是白色;1月20日,三院專家和市第一人民醫院兩位專家以及來自上海第二軍醫大學附屬長海醫院的專家經過會診,決定最后使用CRRT(體外血液凈化以替代受損的腎功能)和ECOM(體外血液循環替代受損的心肺功能)試一下。
醫生找到朱成鳳,對她說救活陶園的概率在三成左右,治療的結果很有可能是人財兩空。朱成鳳毫不猶豫地說,救,一定要救,不惜一切代價我也要救活我兒子。
人工肺
在16日到20日的這幾天里,朱成鳳簽了不知道多少張病危和相關通知單,她事后對陶園說,“當時簽字簽到手軟,但還是得簽”,家人說,她必須堅強,兒子才有可能活下來。
朱成鳳簽的通知單中,包含一張轉院風險通知單。市一院重癥醫學科主治醫師鄭峰告訴她,他將親自負責護送陶園轉院,但途中所有續命儀器都會被暫時撤下,加上存在很多不可控風險,患者隨時可能在路上就停止呼吸。朱成鳳聽后表示認可并同意轉院,對她來說,這是兒子唯一的希望。
路上果然出現了意外。陶園的凝血功能損壞,他的鼻腔開始出血,且始終無法止血,鄭峰必須時刻用棉球堵住出血口,同時對陶園進行輸血。
好在當天路上沒有塞車,救護車很快就來到市一院。此時陶園的家人和朋友都等在入口,看到昏迷不醒的陶園,大家一邊跟跑在病床后,一邊大聲喊著加油,目送他進入市一院的ICU。
陶園被安排進了ICU最里面的一個單間。常規的呼吸機已無法滿足維持陶園生命的供氧水平,鄭峰當機立斷,把人工肺和人工腎的儀器用到陶園身上。
所謂人工肺,即把人體的血液抽出,將氧氣用機器注入血液中,同時進行凈化,再將血液輸回人體。這樣,人工肺就可以暫時替代心臟和肺的功能。它一般用于心肺移植或某些重癥疾病,給治療爭取寶貴時間。

資料圖
但在常州還沒有上機存活的案例,所有人都不知道陶園能否挺過這一關。鄭峰說,“當時院方動用了重癥醫學科、心胸外科、輸血科、護理部(特護治療組)多學科聯合救治。所有的醫護人員都不希望這么年輕的生命逝去,真的可以說是用盡了全力。”
在隨后的幾天里,朱成鳳時刻守候在ICU門外的接待室,每天和鄭峰見上一面,聽他介紹最新的治療情況,她在筆記本上記錄道:
1月20日,生命垂危,轉入一院啟用人工肺,做血液凈化治療;
1月21日,治療中;
1月22日,血壓逐漸恢復正常,心跳趨于平穩,體溫回到37度,腎功能恢復至1/3;
1月23日,嚴重衰竭的肺部開始得到控制;
1月24日,肺部有點進步,但腸部停止蠕動;
1月25日,肺部沒有明顯惡化,也沒有明顯進步,肝臟稍有好轉,腸部插管沒有成功,嘗試胃鏡檢查保證營養;
1月26日,今天做了氣管切開術,手術成功,方便呼吸,協助恢復;
1月27日,病情穩定,人工肺上午撤下,肝臟功能正在恢復,開始進入感染期;(下雪了)
1月28日,撤下人工肺后,他自己的肺恢復得很好,這是個好消息,腎臟和腸部還沒有恢復,還在感染期,意識不清楚;
1月29日,肺部恢復得很好,跟之前嚴重衰竭有了進步,還在感染期,開始發燒,屬于正常反應;
1月30日,今天已經蘇醒了,并停止使用激素,仍在燒,身體很虛弱,但意識很清晰,媽媽進去看他,告訴他外面很多人在關注他,等著他,堅持住!

朱成鳳每天記錄兒子的治療情況

朱成鳳每天記錄兒子的治療情況
脫險
在昏迷的那幾天里,陶園對外界發生的一切沒有記憶也沒有反應,他在一個又一個恐怖而又離奇的夢境中穿梭,印象最深的一個夢是,自己被丟進了海里做人體實驗。醒來后,他的意識并不清醒,分不清夢與現實。
由于手腳無法動彈,他開始在床上掙扎,鄭峰在一旁告訴他,醫護人員好不容易把你救活,不要亂動。陶園這才安靜下來。鄭峰解釋說,那時陶園處于“張望狀態”,整個人不受控制,醒來發現自己是這副模樣,會掙扎很正常。
鎮靜劑的作用讓陶園的大腦有一種升騰感,他醒來后的第一反應是自己在飛機上,恍惚感覺自己被人從海里救了起來。沒多久后,朱成鳳進來了,她拉著兒子的手說,“堅持住,外面很多人在等著你。”陶園點點頭,拉著母親的手,他心里安穩了許多。
在隨后的幾天里,陶園的意識逐漸恢復,有了早晚的概念,但他發現,自己虛弱得甚至無法將手臂抬起,每隔十幾分鐘,護士就要給他吸一次痰。
這幾天里,陶園就一直靜靜地躺著,配合醫生護士治療,每天不是盯著天花板看就是盯著護士看,最期待的事就是護士給他打針抽血,哪怕是疼痛系數最高的動脈血,因為這樣就有人跟他說上幾句話,沒那么無聊了。
他意識到身體正在慢慢好轉起來,只不過由于氣管切開手術的緣故,他還不能說話。他動著嘴唇打著手勢跟護士交流,想喝水了就用手指上的心電監控夾子敲敲病床欄桿。
在這期間,他注意到自己兩側大腿根部位置,分別開了一個口子。右側的更大,長約五公分,有少量滲血。他目睹醫生從左側創口里取出了一根長約30公分的管子,那時沒有痛感,只是震驚。事后他才知道,兩個口子分別用于人工肺和人工腎插管。
2月3日,是他在ICU的最后一天,一位男護士陪著他準備轉入普通病房。護士一進病房就說,恭喜啊,常州ECOM存活的第一例。陶園并不明白他說的,他要來一支筆,在紙上歪歪扭扭地寫道,這是幾院?有沒有飛?

陶園彎彎扭扭地在紙上寫字
護士回答,你沒飛啊,一直在這,這里是市一院。當天下午,護士幫陶園刮了胡子洗了臉,把他從ICU轉入普通病房,這意味著他已經脫離生命危險,可以跟家人見面。
之后的幾天,陶園的恢復得很快,每天的精神狀態和檢查指標都要好于前一天,身上的插管和儀器也在逐一撤下。最后等到胃管也被撤下,他終于可以恢復自由下床行動。按照醫囑,他艱難地在病房的樓道里踱步鍛煉,在消防窗口的玻璃上,他看到了自己模樣:頭發被剃光,眼窩內陷,渾身上下瘦了一大圈。
轉到普通病房大約兩周后,所有指標恢復正常,院方準許陶園出院,那一天是2月18日,大年三十。他脫下病號服換上自己的衣服,臨走前鄭峰和幾位主治醫師過來送他,和他拍了張照。
驚情38天
在普通病房里,一位主任醫師曾找到陶園,詢問他生病前去過哪,吃過什么,有沒有和禽類接觸過。他們想知道,是什么病毒在陶園身上誘發了一系列恐怖的并發癥。
鄭峰分析,罪魁禍首是某種“不普通”的流感病毒,那段時間陶園熬夜較多,身體免疫力較差,被病毒入侵幾天后病情就急劇加重。在陶園轉院后,他們果斷選擇使用人工肺,遏制住了肺部病變,也讓肺得到了休息。加上他本身身體強壯,能夠從ECOM上活下來很不容易。
陶園每天使用ECOM的費用在5000元左右,除此以外還要使用大量白蛋白,對于剛工作的陶園和剛退休的朱成鳳來說,是一筆大開銷。
在陶園昏迷后不久,他的大學舍友張小朋(化名)得知了消息,立刻從山東菏澤趕到了常州,和另一位大學同學日夜守候在病房外。經過他們的奔走求助,社會各界給予陶園很大的幫助。
據朱成鳳粗略統計,陶園那次生病總共花費約50萬,醫保報銷了一部分,自費占四成左右,多虧了陶園的同學、老師,朋友,同事和社會愛心人士的幫助。朱成鳳后來把所有的捐款信封、匯款賬單整理好放在一起,她不敢去翻看和回憶,但說這些東西不能丟掉,“別人幫了我們,我們不能忘”。

捐款信封,朱成鳳一直保存著

捐款信封,朱成鳳一直保存著
兒子的這場重病對朱成鳳打擊很大。她總是不停地提醒他,不要熬夜,保護好肺和腎。盡管陶園可以一臉輕松地跟朋友談起這場經歷,但夜深人靜時,他獨自回憶,仍感到后怕不已。
出院恢復工作后,他尤其注意自己的作息和保暖,很少生病。但幾年來還是出現過兩三次發燒,每一次都讓他十分緊張。
有一次因為扁桃體發炎引起發燒,他和母親第一時間就趕往醫院,盡管醫生能夠確診病情,但他們仍然很緊張,選擇在觀察室度過一晚,等第二天退燒了再回去。“害怕了,真的不想再來一次。”
從1月12日開始發燒,到入院治療再到使用人工肺,最后到2月18日出院,陶園總共經歷了38天。用一位護士的話說,“病情來也洶洶,去也匆匆”。除了幾道傷疤,流感病毒在身體上沒有給他留下任何后遺癥。
《常州晚報》2015年3月10日發布了一則消息:從去年(2014年)12月底以來,香港持續發生流感疫情,并導致300余人死亡。雖然目前我市也處在流感高發期,但總體情況平穩。
三年后,通過長期鍛煉,陶園變得強壯起來。今年春節前,他去到醫院看望鄭峰,兩人合了一張影。離開之前,他在ICU門口站了一會,看著自己當年住過的病房,心里百感交集。




